Logo der Praxis Dr. Berschick

Praxis für Pränatale Diagnostik und Therapie 

Dr. Bernd Berschick - DEGUM II                   

Ultraschall-Feindiagnostik

3D/4D-Ultraschall

Gesichtsdarstellung in der 33. SSW

‍Was ist 3D-Ultraschall


‍Bei uns dient die moderne 3D/4D-Ultraschalltechnik im Rahmen der medizinischen Ultraschalldiagnostik der Ergänzung von diagnostischen Informationen und der besseren Visualisierung im Rahmen spezieller Fragestellungen. Sie ermöglicht eine dreidimensionale Wiedergabe der kindlichen Strukturen.


‍Dreidimensionaler Ultraschall verwendet „normale“ 2D-Ultraschallbilder und erzeugt durch eine bewegliche Sonde viele parallele Schichtbilder. Diese werden dann zu einem „Volumenblock“ zusammengesetzt.


‍Mittels hoch komplexer Computertechnik werden je nach Untersuchungsziel Volumen- oder Oberflächenbilder berechnet. Da das Gerät nur ein einziges Volumen berechnen muss (stehendes Bild), ist die Auflösung höher als bei 4D-Ultraschall (s.u.), aber geringer als bei einem „normalen“ 2D-Ultraschallbild.

‍3D-Ultraschall ist also ein „Foto“ eines Ultraschallvolumens



Herzdarstelllung, farbliche Darstellung der Blutflüsse


‍Was ist 4D-Ultraschall


‍Durch modernste Geräte- und Ultraschalltechnik ist es heute möglich, die Erzeugung eines dreidimensionalen Volumens (s.o.) derart schnell hintereinander zu berechnen, dass 3 oder mehr Volumenbilder pro Sekunde dargestellt werden können. Wie bei einem Film können so Bewegungen des Kindes in Echtzeit dargestellt werden (real-time-3D). Da hier also die Zeit als „vierte Dimension“ zu den drei räumlichen Dimensionen hinzukommt, nennt man diese Ultraschalltechnik auch 4D-Ultraschall.


‍Mit den in der Praxis verwendeten neuesten Technologie der elektronischen Matrix-Sonden fallen die beweglichen Teile der „normalen“ 3D-Sonden weg und es sind deutlich höhere Auflösungen pro Sekunde möglich. 

‍4D-Ultraschall ist also ein bewegter zeitlicher Ablauf von 3D-Bildern.   



‍Gesicht und Mimik 32. SSW

‍Diese sind z.B.:


  • „dickere“ 2D-Schichten z.B. zur gleichzeitigen Darstellung aller Finger oder Zehen
  • die räumliche Darstellung der Blutflüsse in der Plazenta
  • ansonsten nicht erreichbare Schichteinstellung im Kind
  • die räumliche Darstellung von Blutflüssen im fetalen Herz


und durch Einsatz hochmoderner virtueller „Beleuchtung“ und Farbgebung absolut faszinierende Einblicke in das Leben vor der Geburt. Mehr dieser wirklich erstaunlichen Bilder finden Sie in der Galerie.

Embryo in der 9. SSW
Embryo in der 12. SSW
Embryo 11. SSW
Gesicht in der 30. SSW

‍Welche verschiedenen Arten der 3D/4D-Sonographie gibt es



‍Während die werdenden Eltern bei 3D/4D-Ultraschall naturgemäß zuerst an die realistische Oberflächendarstellung ihres Kindes denken, sind in den letzten Jahren im High-End-Bereich der Ultraschalltechnik weitere Arten der 3D-4D-Volumendarstellung hinzugekommen, die den medizinisch-diagnostischen Bereich deutlich erweitert haben und heute bei speziellen Fragestellungen in die Routineuntersuchung eingefügt werden.





























Fuß und Zehen in der 22. SSW
Plazentagefäße
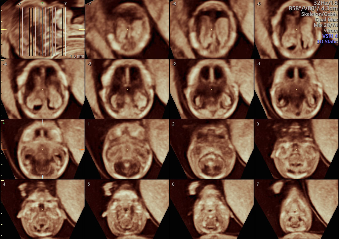
Kopf in der 14. SSW in Schichtaufnahmen
Räumliche Darstellung des kindlichen Oberkiefers

‍Vorteile der 3D/4D-Sonographie


‍Die „normale“ Ultraschalluntersuchung und Fehlbildungsdiagnostik wird immer mittels zweidimensionaler real-time-Sonographie durchgeführt. 

‍Die 3D/4D Technik ersetzt diese nicht, sondern liefert uns zusätzliche diagnostische Informationen bei bestimmten Fragestellungen.

‍So sind Ebenen und Ansichten möglich, die sich ansonsten nicht einstellen lassen würden. Auch werden bestimmte Details kontrastreicher hervorgehoben. 


‍Ein großer Vorteil für den Pränataldiagnostiker ist jedoch die Speicherung und nachträgliche Bearbeitungsmöglichkeit von Volumenaufnahmen. So können nach der eigentlichen Untersuchung in Ruhe verschiedene Ebenen, Schichten und Oberflächendarstellungen in einem Volumen angesehen werden, welches während der Untersuchung ohne Zeitverzug gespeichert wurde.


‍Bei äußerlichen Fehlbildungen (z.B. eine Lippen-Kiefer-Spalte) können die Eltern sich Ihr Kind und dessen Fehlbildung viel besser vorstellen und gehen direkt nach der Geburt (durch vorherige Beratungen auch mit Kinderärzten) viel gelassener und informierter mit der vorhandenen Fehlbildung ihres Kindes um. 


‍Ein großer Vorteil für die werdenden Eltern ist das „Bonding“ durch die inzwischen lebensnahe Abbildung ihres Kindes.






‍Nachteile der 3D/4D-Sonographie


‍Aufgrund der enormen Datenmenge schnell hintereinander folgender Volumina und deren Berechnung ist auch heute noch die Auflösung der Bilder naturgemäß geringer als in der 2D-Sonographie. Strukturen, die vor dem Untersuchungsgebiet (z.B. Gesicht oder Herz) liegen (Arme, Beine, Nabelschnur) beeinträchtigen die Darstellung viel mehr als im „normalen“ 2D-Ultraschallbild

‍Das gleiche gilt für eine ungünstige Lage des Kindes, einem nur geringen Fruchtwasserdepot vor dem untersuchten Gebiet oder echodichten mütterlichen Bauchdecken nach einem Kaiserschnitt oder bei erhöhtem BMI.

Gesicht in der 30. SSW

‍3D/4D in unserer Praxis



‍Kein Kind sollte im Rahmen eines „Babyfernsehens“ einfach nur angeschaut werden.


‍Denn abgesehen davon, dass ein solches „Baby-TV“ ohne medizinische Indikation seit dem 1. Januar 2021 in Deutschland verboten ist, kann es leicht passieren, dass ein wichtiges Problem (z.B. ein Herzfehler) nicht entdeckt wird, wenn man sich nur auf „schöne Bilder“ konzentriert.



‍Unsere Praxis ist eine ärztliche Institution. Die DEGUM Stufe II bedeutet eine hohe Qualifikation aber auch eine besondere Verpflichtung zur verantwortungsvollen Durchführung der vorgeburtlichen Ultraschalldiagnostik. 

‍Ein reines Babyfernsehen ohne medizinischen Hintergrund war und ist mit der Ethik hinter dieser Qualifikation nicht vereinbar.



© Dr. Bernd Berschick 2026

Diese Website verwendet Cookies. Bitte sehen Sie unsere Datenschutzrichtlinie für Details.